舌がん ⇒ 口腔がんの中で一番多いがん!

舌がん舌の前 3分の2できる がんのことをいいます。
これは、口を開けたときに肉眼で見える範囲にあります。

そのため 他のがんに比べて見つけやすいガンにです。
舌がんは 口腔がんの一種で、口腔がんには、舌がんの他に
歯茎にできるがん        歯肉 しにくがん)
舌と歯肉の間の口底にできるがん口底癌 こうていがん)
頬の内側にできるがん     頬粘膜癌 きょうねんまくがん)
口の中の天井にできるがん   口蓋 こうがいがん)
上下の口唇にできるがん    口唇癌 こうしんがん)
 などがあります。

舌がんは 口腔がんのなかで、一番多い がんで、発症するのは
40歳以上の人に多いそうです。
恐ろしいところは、違う場所へ飛び火(転移)を起こすことです。
口腔がんでは、首のリンパ節(頸部リンパ節)に最も高い確率

転移を起こすそうです。

しかし、舌がんの場合は、早期発見がしやすいため、治療が成功する
確率も高くなっています。

その後方の舌根部(指で触れるとウッとなる箇所)の癌は中咽頭癌に
分類されます。

舌の機能としては、
  • 食物をのどに送り込む嚥下機能
  • 言葉を作る構音機能
  • 味覚の機能
これら3つの機能があります。 いずれも重要な機能です。

原 因
発生原因は不明とのことですが、 飲酒や喫煙が原因の一つと
いわれています。
また、義歯や虫歯による持続的な刺激が誘因と考えられています。


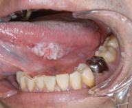
  舌がん写真Ⅰ          舌がんしゃしんⅡ
 
AppleMark?   AppleMark? 

画像引用:東京医科歯科大学顎口腔外科


初期の自覚症状はほとんどなく、舌がほんの少しざらざらしたり、
白い斑 点が見られるくらいです。
初期から潰瘍がみられるタイプだと、飲み物 がしみる、歯と
こすれると痛いという症状があるそうです。
しかし、しだいに
進行 してくると、腫れたしこりに触れるように
なります。さらに進行すると舌の動きが悪くなり、言葉 が喋り
づらくなったり食事が取りづらくなったり口が開かなくなったり
してきます。

治 療

手術によって舌の癌細胞を摘出する治療法では、効果は高いのですが
舌の癌がある部分を「切除」して直接癌を締め出すという方法に
なるので、切除する範囲によっては舌の半分以上を失うことも
あるので嚥下障害(食べ物を食べるのが難しくなる)、構音障害
(発音が難しくなる)、味覚障害(食べ物の味がわからない)などの
 障害が懸念されます。
化学療法抗がん剤を使用するので、残念ながら副作用が存在します。
これについては舌癌の進行具合、患者様の年齢や健康状態を考慮した
上で治療法のひとつして選択することになると思います。

放射線療法は放射線によって がん細胞の進行を妨げる、もしくは
ガン細胞を死滅させますが、健康な細胞はほとんど影響は受けません
しかし、放射線を口腔内に照射するため、のどがひどく渇くなどの
副作用が生じることがあります

予 防

・舌に常に歯が当たっている場合は、歯列矯正や歯を削るなどして
 早めに調整してもらう。

・常に舌に痛みが生じる場合であれば 口腔外科などに相談して検診
 してもらうとようでしょう。